Full Mouth Implant in 3 Days — Ashok Gaba
✅ Fixed teeth in just 3 days ✅ Full chewing ability restored ✅ Natural smile and facial balance ✅ Long-term stable solution 👉 Basal implants allow immediate function even in bone loss cases


4.9 Rating
Google Reviews
1000+
Cases Done
15+ Years
Experience
Teeth in 3 Days
Immediate Loading
Watch Ashok Gaba's Transformation
Patient Snapshot
| Patient | Ashok Gaba |
| Age | 70 years |
| City | Mumbai |
| Problem | Difficulty in chewing food Multiple missing and damaged teeth Poor oral function Loss of confidence while smiling |
| Solution | Full mouth dental implants Immediate loading (fixed teeth in 3 days) Extraction of compromised teeth Placement of multiple implants in upper and lower jaw Fixed full arch prosthesis |
| Duration | 4 |
The Transformation Story
Mr. Ashok Gaba, a 72-year-old patient from Mumbai, visited Urban Smile with severe dental problems, including multiple missing teeth and difficulty in chewing food. He was struggling with eating and had lost confidence in his smile. After detailed evaluation, we recommended full mouth dental implants using immediate loading technique. Despite his age and bone condition, we were able to provide a fixed solution within just 3 days. The transformation was remarkable — from compromised teeth to a confident, natural smile.
Before & After Gallery
Before Treatment


After Treatment


The Challenge
- 1Difficulty in chewing food Multiple missing and damaged teeth Poor oral function Loss of confidence while smiling
Treatment Performed
- ✓Full mouth dental implants Immediate loading (fixed teeth in 3 days) Extraction of compromised teeth Placement of multiple implants in upper and lower jaw Fixed full arch prosthesis
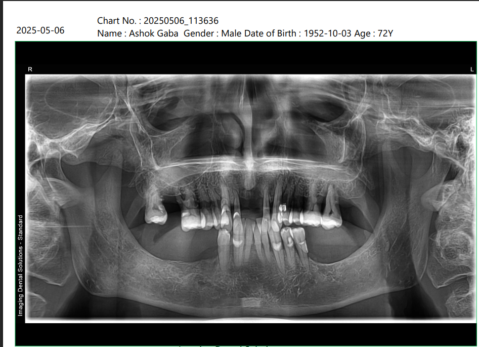
X-Ray Analysis
OPG — Before

OPG — After

Radiographic Findings
Multiple implants placed in both upper and lower jaw Implants are strategically angled and distributed Strong anchorage in available bone Proper full arch support for fixed teeth Balanced load distribution 👉 Clinical Meaning (simple explanation): We have created a strong foundation using implants, which act like artificial roots. These implants support fixed teeth, allowing the patient to chew normally again.
Final Results
- ✓✅ Fixed teeth in just 3 days ✅ Full chewing ability restored ✅ Natural smile and facial balance ✅ Long-term stable solution 👉 Basal implants allow immediate function even in bone loss cases
In Patient's Own Words
“✅ Fixed teeth in just 3 days ✅ Full chewing ability restored ✅ Natural smile and facial balance ✅ Long-term stable solution 👉 Basal implants allow immediate function even in bone loss cases”
Ashok Gaba, Mumbai
Doctor's Insight
BDS (MUHS)
This case demonstrates how even elderly patients with compromised dental conditions can benefit from full mouth dental implants with immediate loading. By using basal implant technology, we avoided bone grafting and provided fixed teeth within 72 hours, restoring both function and confidence efficiently.
Know someone who needs this?
Share Ashok Gaba's story and help others find the right treatment.
Want a Similar Transformation?
Book your free consultation with Dr. Manish Dighade today.
Similar Patient Stories
View All
Full Mouth Dental Implants in Pune | 75-Year-Old Patient | Teeth in 3 Days

Full Mouth Dental Implants in Pune | 66-Year-Old Patient Case | Fixed Teeth Solution
